Home » Without Label » 40+ elegant Foto Bone Marrow Bank - Odisha to set up bone bank, starts bone marrow ... - For many patients with blood diseases like leukemia, their best shot at survival is to replace their diseased blood and immune cells with a transplant of healthy cells from an unrelated donor.
40+ elegant Foto Bone Marrow Bank - Odisha to set up bone bank, starts bone marrow ... - For many patients with blood diseases like leukemia, their best shot at survival is to replace their diseased blood and immune cells with a transplant of healthy cells from an unrelated donor.
40+ elegant Foto Bone Marrow Bank - Odisha to set up bone bank, starts bone marrow ... - For many patients with blood diseases like leukemia, their best shot at survival is to replace their diseased blood and immune cells with a transplant of healthy cells from an unrelated donor.. This new source for hematopoietic cell transplant will be a valuable resource for treating hematological malignancies as well as for inducing transplant tolerance. Bone marrow is the spongy tissue inside some bones. This means they all share their registry databases and if matches between patients and donors in. I've seen a lot of doctors about it and they are all saying pretty much that i. Its job is to produce blood cells.
Ossium health has established a bank of cryopreserved bone marrow (bm), termed hematopoietic progenitor cell (hpc), marrow, recovered from deceased organ donor vertebral bodies. The british bone marrow registry (bbmr) helps people find stem cell matches. Marrow donation is a surgical, outpatient procedure that takes place in a hospital operating room. I had a bone marrow aspiration completed for a stem cell banking process about 3.5 months ago now, and i'm still having pain as if it was done yesterday. To prepare for a stem cell transplant, you receive chemotherapy to kill the diseased cells and malfunctioning bone marrow.
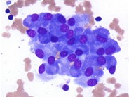
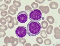
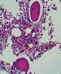
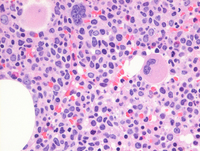
Post-polycythemic myelofibrosis, bone marrow core 1 from imagebank.hematology.org What is a bone marrow transplant? The patient is an 11 years old child with a mediastinal tumor. The marrow aspirate shows an invasion with neuroblastoma cells and characteristic images of neuropile threads. The bone marrow donor programme (bmdp) manages singapore's only register of volunteer bone marrow donors. Bone marrow edema is commonly seen with fractures and other serious bone or joint injuries, especially those involving the spine, hip, knees, or ankle. More than 35,000 people have donated bone marrow to a stranger without a single. World marrow donor association matching donors • serving patients since 1994. This image belongs to set:
Bone marrow stem cells are collected from the posterior section of the pelvic bone under general anesthesia.
We support israel's largest health support organization. The purpose of this study is to store blood, serum and bone marrow so that they can be used for laboratory studies that may contribute to finding the exact function of the cart cells and the factors that may determine disease progression and treatment response. 30 percent of marrow donations use the traditional method of putting a needle in your hip. We are part of nhs blood and transplant and recruit potential donors from our dedicated blood donors. I had a bone marrow aspiration completed for a stem cell banking process about 3.5 months ago now, and i'm still having pain as if it was done yesterday. We have over thirty years experience in the field. Of donors and cords in our database: We work with hospitals, cancer centers, and other organizations to reinforce and complement medical care. According to the obi, blacks have the lowest … The national marrow donor program (nmdp) is a nonprofit organization founded in 1986 and based in minneapolis, minnesota, that operates the be the match registry of volunteer hematopoietic cell donors and umbilical cord blood units in the united states. The bone marrow donor programme (bmdp) manages singapore's only register of volunteer bone marrow donors. If you are between the ages of 18 and 44 years old and willing to donate to any patient in need, you may be eligible to join the registry online today. 70 percent of marrow donations use peripheral blood stem cell apheresis.
After donation, donors may feel soreness in the lower back. The bone marrow donor programme (bmdp) manages singapore's only register of volunteer bone marrow donors. The national marrow donor program® (nmdp) has formal business relationships with donor registries in other countries. Of donors and cords in our database: A challenge for a future bm banking system will be to manage the prolonged ischemia times that are inevitable when bones procured at.
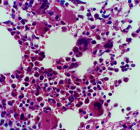
Reactive bone marrow aspirate - 1. from imagebank.hematology.org If your bone marrow isn't functioning properly because of cancer or another disease, you may receive a stem cell transplant. This means they all share their registry databases and if matches between patients and donors in. The purpose of this study is to store blood, serum and bone marrow so that they can be used for laboratory studies that may contribute to finding the exact function of the cart cells and the factors that may determine disease progression and treatment response. After donation, donors may feel soreness in the lower back. Our modes of operation include conducting community drives for patients, working with other worldwide registries, ancestral genetic studies. Its job is to produce blood cells. Recently the use of bone marrow stem cells in regenerative medicine has also been tried with excellent success. Among the widely acknowledged and universally accepted stem cell treatments, since the very evolution of medicine, are bone marrow therapies for an array of hematopoietic disorders.
While the donor is under anesthesia, doctors collect marrow from the back of their pelvic bone.
For many patients with blood diseases like leukemia, their best shot at survival is to replace their diseased blood and immune cells with a transplant of healthy cells from an unrelated donor. Our modes of operation include conducting community drives for patients, working with other worldwide registries, ancestral genetic studies. 30 percent of marrow donations use the traditional method of putting a needle in your hip. Join be the match registry. The national bone marrow transplant link is dedicated to helping individuals and their families from diagnosis through survivorship. Donating bone marrow is safe: Find more information about becoming a bone marrow donor here. If your bone marrow isn't functioning properly because of cancer or another disease, you may receive a stem cell transplant. Bone marrow stem cells are collected from the posterior section of the pelvic bone under general anesthesia. The first step to being someone's cure is to join be the match registry ®. Wisconsin bone marrow and organ donation leave act overview. What is a bone marrow transplant? We work with hospitals, cancer centers, and other organizations to reinforce and complement medical care.
The nbmtlink has been linking, curing, and caring since 1992, providing a number of services and resources. The national bone marrow transplant link is dedicated to helping individuals and their families from diagnosis through survivorship. Of donors and cords in our database: Bone marrow is the spongy tissue inside some bones. If you are between the ages of 18 and 44 years old and willing to donate to any patient in need, you may be eligible to join the registry online today.
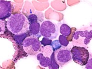
病状急変すぐに専門医へ ( その他の病気 ) - 骨髄バンク - Yahoo!ブログ from blogs.c.yimg.jp Patients who suffer from certain conditions — leukemia, lymphoma and multiple myeloma, amyloidosis. Our modes of operation include conducting community drives for patients, working with other worldwide registries, ancestral genetic studies. What is peripheral blood stem cell (pbsc) donation? The patient is an 11 years old child with a mediastinal tumor. International bone marrow donor organizations. A bone marrow transplant is a procedure that replaces bone marrow, tissue in the body responsible for producing red and white blood cells and stem cells, that no longer functions correctly or has been destroyed by radiation or chemotherapy. This will dramatically increase the. This image belongs to set:
According to the obi, blacks have the lowest …
Neuroblastoma with bone marrow invasion. Bone marrow donation requires less than five percent of marrow cells. The national marrow donor program® (nmdp) has formal business relationships with donor registries in other countries. Bone marrow edema is commonly seen with fractures and other serious bone or joint injuries, especially those involving the spine, hip, knees, or ankle. Bone marrow stem cells are collected from the posterior section of the pelvic bone under general anesthesia. Everything we do is for the goal of finding a donor for every patient. World marrow donor association matching donors • serving patients since 1994. The nbmtlink has been linking, curing, and caring since 1992, providing a number of services and resources. After the surgery, you might feel tired or weak and have trouble walking for a few days. A challenge for a future bm banking system will be to manage the prolonged ischemia times that are inevitable when bones procured at. I had a bone marrow aspiration completed for a stem cell banking process about 3.5 months ago now, and i'm still having pain as if it was done yesterday. The national bone marrow transplant link is dedicated to helping individuals and their families from diagnosis through survivorship. We work with hospitals, cancer centers, and other organizations to reinforce and complement medical care.